пн-пт с 9:00 - 20:00
сб с 10:00 - 19:30
г. Дербент
ул. Проспект Агасиева 14а
пн-пт с 9:00 - 20:00
сб с 10:00 - 19:30
г. Дербент
ул. Проспект Агасиева 14а
г. Дербент
ул. Проспект Агасиева 14а
 

Художественная реставрация зубов

/
/
Художественная реставрация зубов
Запишитесь на прием сейчас и получите консультацию
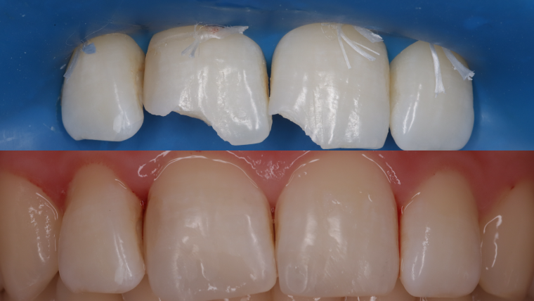
Художественная реставрация зубов — одно из направлений терапевтической стоматологии, при котором восстанавливают естественную структуру и форму зуба с помощью композитных (пломбировочных) материалов. Реставрация — более сложный и длительный по исполнению процесс в сравнении с обычной установкой пломбы.
Реставрация зубов — цены и отзывы в Дербенте. Стоматология DK

Когда нужна реставрация

Противопоказаний для этой процедуры практически не существует, но есть особенности в выборе методов. В случае сильной разрушенности зуба и отсутствии большой области коронковой части, врач может предложить другие способы восстановления (коронки, виниры).

Виды художественной реставрации зубов

Как происходит процедура

Сначала стоматолог определяет анатомию зуба, которую ему нужно воссоздать
  • Если зуб сильно разрушился и утеряно более 30% функциональной поверхности (травма, кариозные поражения)
  • При широких межзубных промежутках
  • При наличии дефектов в зоне улыбки: убрать сколы, исправить форму и цвет

Диагностика

по цвету, прозрачности, структуре и т.д.

Подбор композитных материалов

после чего композитный материал наносится послойно. Многослойная технология наложения композитного материала позволяет сократить стоимость и время для реставрации коронковой части зуба

Подготовка поверхности

  • Прямой — восстановление происходит непосредственно во рту, метод подходит в случае, если коронковая подверглась несущественному разрушению
  • Непрямой — изготовление коронок, вкладок, виниров и других элементов в лабораторных условиях по индивидуальным слепкам
Основные виды реставрации зуба:
Прайс лист
Made on
Tilda