пн-пт с 9:00 - 20:00
сб с 10:00 - 19:30
г. Дербент
ул. Проспект Агасиева 14а
пн-пт с 9:00 - 20:00
сб с 10:00 - 19:30
г. Дербент
ул. Проспект Агасиева 14а
г. Дербент
ул. Проспект Агасиева 14а
 

Шинирование зубов

/
/
Запишитесь на прием сейчас и получите консультацию
Шинирование зубов — это процедура, при которой зубы фиксируются специальной стоматологической шиной с целью стабилизации шатающихся зубов. Шинирование помогает предотвратить выпадение зубов, сохранить функциональность и эстетику зубного ряда.
Шинирование десен — цены и отзывы в Дербенте. Стоматология DK

Показания и противопоказания

Виды шинирования

  • Аллергия на используемые материалы
  • Большое количество сильно подвижных зубов
  • Острые воспалительные процессы в полости рта и пародонта
  • Пародонтоз — самое частое показание, зачастую шинирование зубов может быть единственным способом фиксации зубного ряда
  • Перелом челюсти или травма, которые приводят к подвижности зубов
  • Начальные признаки пародонтита и пародонтоза — кровоточивость десен, образование пародонтальных карманов
  • Аномалии прикуса (скученность, смещение зубов из-за разрушенного зубного ряда)
  • Закрепление результата ортодонтического лечения, в данном случае шина называется ретейнер, и необходима для образования вокруг зубов новой костной ткани

Существует ряд факторов, которые могут препятствовать наложению шины:

В зависимости от длительности ношения шины:

  • Временное – до 3 месяцев, чаще всего назначают при травмах или переломах челюсти, чтобы стабилизировать подвижность зубов
  • Долговременное – до 1 года, проводится при заболеваниях пародонта в качестве поддерживающей терапии
  • Постоянное – более 1 года

По методу и типу используемых материалов:

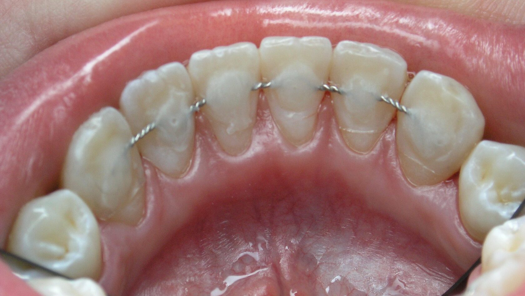
  • Стекловолоконными, арамидными, полиэтиленовыми нитями является самым популярным и современным методом, процедура шинирования проводится за одно посещение стоматолога. На зубах создают горизонтальную бороздку, в которую укладывается специальная лента или нить. Затем она закрывается пломбировочным композитным материалом.
  • Съемными протезами — бюгельное протезирование является одним из методов фиксирования подвижных зубов засчет наличия специальных крючков (кламмеры). Прочная металлическая конструкция помогает восстановить зубной ряд и скрепить подвижные зубы
  • Коронками и вкладками — спаянные между собой металлические или циркониевые коронки также могут служить шиной. Данный метод используют в случае подвижности нескольких рядом стоящих зубных единиц. Существенным минусом данного метода является необходимость предварительной депульпации (удалении нерва из канала) и обточки собственного зуба
Шинирование зубов может быть рекомендовано в различных случаях, и только квалифицированный стоматолог может определить, подходит ли этот метод лечения для вашей ситуации
Прайс лист
Made on
Tilda